表層に癌細胞の露出を認めない隆起型早期胃癌の一例(稀)

ピロリ菌の除菌に伴い、平坦な早期胃癌は、表層に一層非癌上皮を認めることが多いということがわかっています。

これだけ聞くと、除菌後の胃癌は見つけにくいのでは?と思う方が多いと思います。

NBI(特殊光)の弱拡大で癌の局在や範囲診断が可能ですので、あまり不安にならないようにしてください。

今回提示する症例(ピロリ除菌後)は、隆起型の早期胃癌で、表層に癌の露出を認めない早期胃癌です。

胃内には複数の胃底腺ポリープが散見されます。良性で取る必要のないポリープです。

前庭部の隆起は、良性ポリープではなく、癌疑いで生検しましたが、結果は Group1の結果でした。

患者さんと相談し、

①良性腫瘍の特徴がないこと

②ピロリ除菌後の表層非腫瘍で被覆されることがあること

上記をICした上で、早期胃癌として、当院で内視鏡的切除の方針としました。

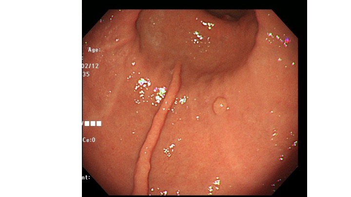
治療日の拡大内視鏡所見です。

通常観察はやや白色調の隆起、NBI観察では、癌の特徴である色差(癌:茶色、周辺:緑色)を認めています。

(1)癌の血管は、視認できず。

(2)表面構造に、癌を示唆する所見も視認できず。

処置時間は8分で終了しています。

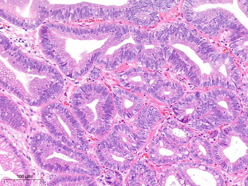
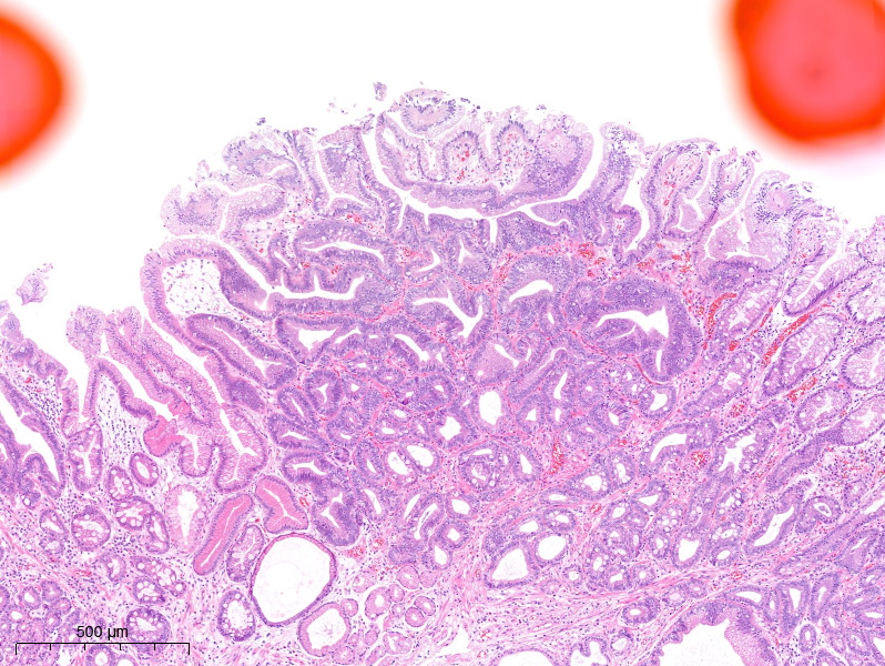
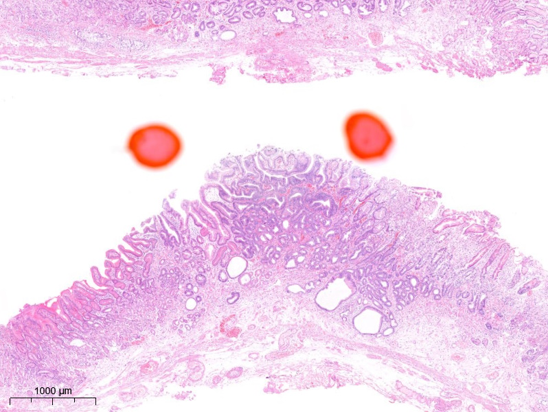
さて、病理の方ですが、

赤点と赤点の間に、癌腺管が確認できる範囲です。

癌の露出はなく、表層非腫瘍細胞で覆われている病変でした。

核の形状も類円形>紡錘形、重積が強く、高異型度高分化型腺癌(High grade)の診断としております。

今回、非常に珍しい、表層に癌細胞の露出を認めない隆起型の早期胃癌を経験しました。

病理学・癌の遺伝子研究を大学院時代に経験していたこともあり、私自身、内視鏡と癌の病理にこれまで情熱を注いできました。

癌を見逃されない診断力、超早期(5mm以下)で発見することができる当院へ、是非内視鏡を受けに来てみてください。