膵癌の現状
◇がん死亡数予測(2020年)
男女計
| 部位 | 死亡数 |
|---|---|
| 全がん | 379,400 |
| 肺 | 75,600 |
| 大腸 | 54,000 |
| 胃 | 43,500 |
| 膵臓 | 36,700 |
| 肝臓 | 24,900 |
男 性
| 部位 | 死亡数 |
|---|---|
| 全がん | 220,500 |
| 肺 | 53,200 |
| 大腸 | 28,800 |
| 胃 | 28,300 |
| 膵臓 | 18,400 |
| 肝臓 | 16,300 |
女 性
| 部位 | 死亡数 |
|---|---|
| 全がん | 158,900 |
| 大腸 | 25,200 |
| 肺 | 22,300 |
| 膵臓 | 18,400 |
| 乳房 | 15,500 |
| 胃 | 15,200 |
※国立がん研究センター がん情報サービス 2020/09/11
https://ganjoho.jp/reg_stat/statistics/stat/short_pred.html
【部位別5年生存率(2009〜20211年診断例)
男性8.9% 女性8.1%】
膵臓は、胃の裏側に局在し、背中側にある臓器です。膵癌は、悪性度の高い癌で、予後不良な癌とされています。発見してから5年後に生存している確率(5年生存率)がわずかに8%程度です。つまり、5年のうちに、約90%の方が亡くなってしまいます。積極的に検査しなければ、早期発見が困難な点、抗がん剤がききにくいため、生存率が他の癌と比べ、低いとされています。
膵癌は症状が出現しないまま進行し、典型的な症状である“背部痛”や“黄疸”、“体重減少”などが出てきた時には、切除不能(StageⅣ)まで進行していることが多いと実感しています。そのため、膵癌の“早期発見”の重要性が指摘されています。
初診時のステージ

初診時に根治切除不能で見つかる割合:80%
Lau SC, et al. World J Gastrointest Oncol.2017
【5年生存率】
stage0 (上皮内癌) 85.8%
stageIa (限局、2cm以下) 68.7%
stageIb (限局、2cm以上) 59.7%
Egawa et al. 2012
【Stage 0】

【Stage I】

【Stage0 膵癌では、5年生存率が高いため、いかにして早期発見するか、が重要】
膵癌の時間軸

早期診断が期待できる期間
→発癌してから、2〜3年以内が早期診断のチャンスと言われています
超音波内視鏡について
□ 胃カメラの先端に設置した超音波装置を使って、肝臓・膵臓・胆嚢・胆管を観察する検査方法です。
□ 膵癌の診断率は94%と報告されており、最も検出率の高い検査方法とされています。
□ 超音波内視鏡では、2㎝以下の膵臓癌の検出率も高いと報告されています。
膵臓がんを早期発見する上で、近年必要不可欠な検査になりつつありますが、手技の習得には専門施設での一定期間の習熟訓練を必要であることから、検査医が充分とは言えないことが現状です。
会津若松市内でも超音波内視鏡を十分に操作できる医師は限られています。また、当院が市内で唯一膵臓がん検査である超音波内視鏡を扱えるクリニックです。
当院の超音波内視鏡では、3000例以上の超音波内視鏡検査および治療経験を有する内視鏡専門医である院長自身が担当します。経験豊富な専門医による、膵癌検査をうけていただき、膵臓への不安を払拭されてはいかがでしょうか?

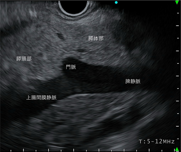
〈胃内操作による観察〉
脾静脈を描出し、静脈を追いかけるように観察します。自然とその上側に膵臓(体部と尾部)が描出され、観察可能となります。

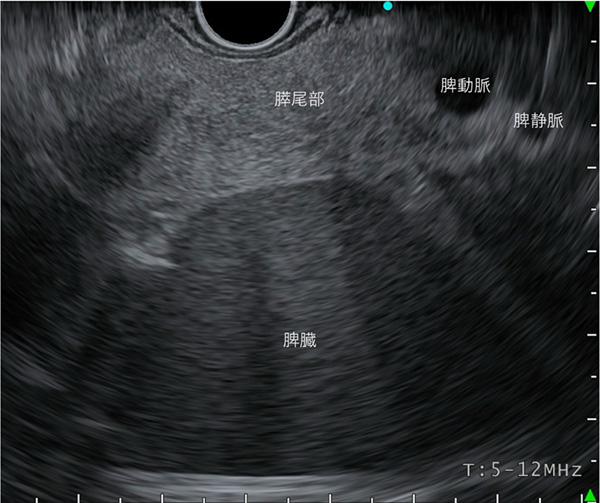
〈胃内操作による観察〉
脾門部まで観察できれば、膵尾部末端まで観察したことになります。一般に、腹部エコーではこの領域は描出不能と呼ばれる部位です。

〈十二指腸球部操作による観察〉
肝門部からVater乳頭まで観察します。特にこの領域は、胆管の観察に充填をおきます。

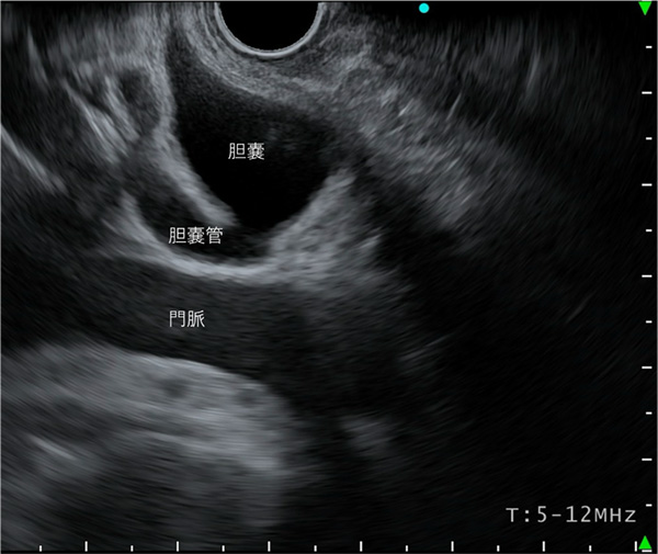
〈十二指腸球部操作による観察〉
胆管を肝門方向に観察していくと、胆嚢管及び胆嚢の描出が可能となります。

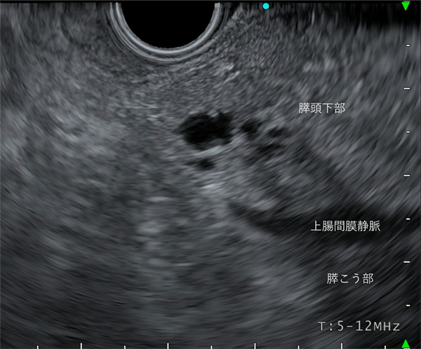
〈十二指腸下行脚操作による観察〉
胆管と膵管の合流部であるVater乳頭を描出します。ここでは、膵頭部および、膵頭下部、膵こう部を観察することが可能です。

〈十二指腸下行脚操作による観察〉
膵頭下部、膵こう部も一般的に腹部エコーでの病変描出は困難な部位です。本症例は、腹部エコーで指摘されなかった、膵頭下部に、膵IPMN(10mm)をこの超音波内視鏡でみつけた一例です。膵癌のリスクファクターとされる病変です。EUSの有用性がしめされた一例となります。
