私が総合病院勤務時代に、穿通性胃潰瘍(一度潰瘍により、胃の内側と外側がつながる穴が空くこと。)を起こし、主治医として入院管理した患者です。
その当時の、処置としては、ネオベール(組織再生を促す素材)とぺりプラスト(接着糊)を使用し、穿通した潰瘍に充填して、穴を塞ぐ治療をしました。(画像がなくて申し訳ありません。)
その後、年に1回、内視鏡Followをしていました。今年度の内視鏡で早期胃癌を発見、当院で治療の方針としました。
穿通するほどですので、胃は強く変形しており、わかりやすい写真がとれず・・・。

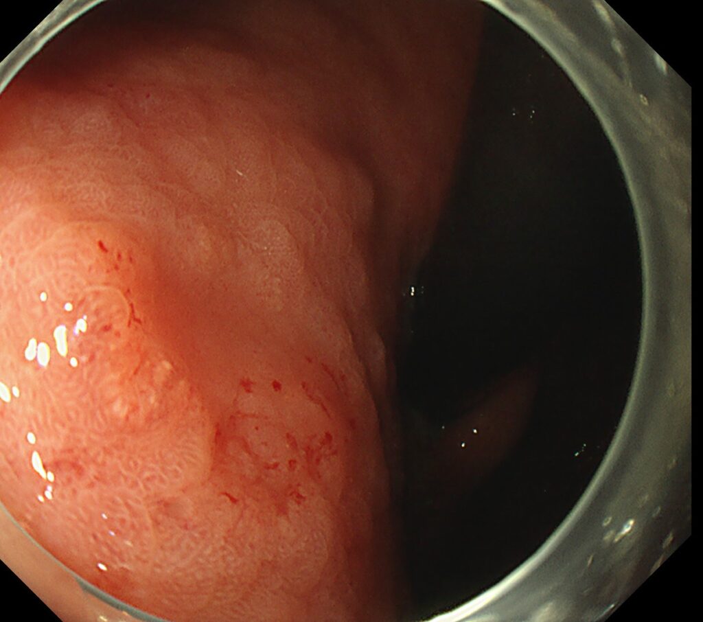
付図のごとく、胃の小彎側に、突如ひだが途絶するほどの潰瘍瘢痕を認めます。
その直上に

易出血性の陥凹性病変を認めます。


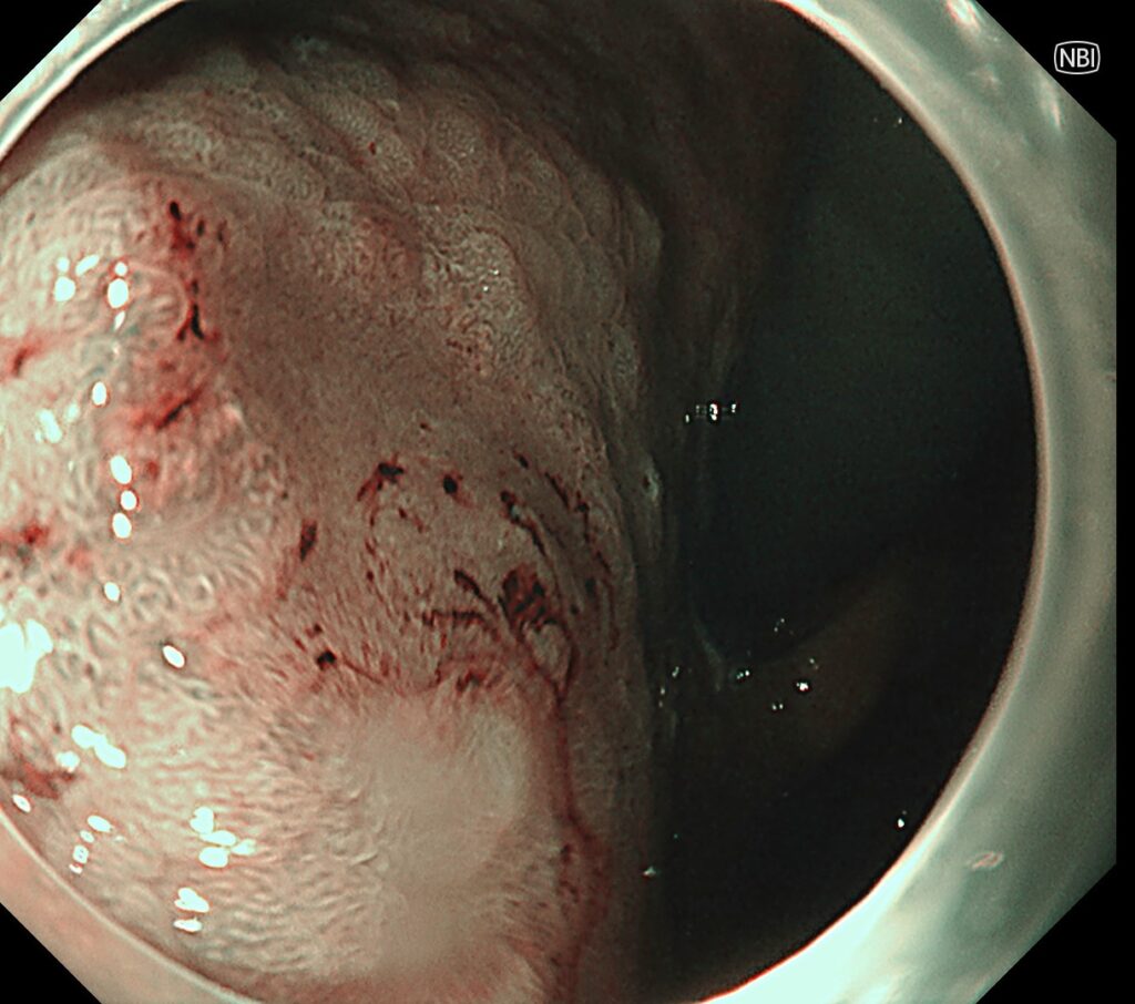
NBI観察では、高分化型腺癌(顔つきの良い癌)+中分化型腺癌(やや顔つきの悪い癌)の混在所見を認めます。

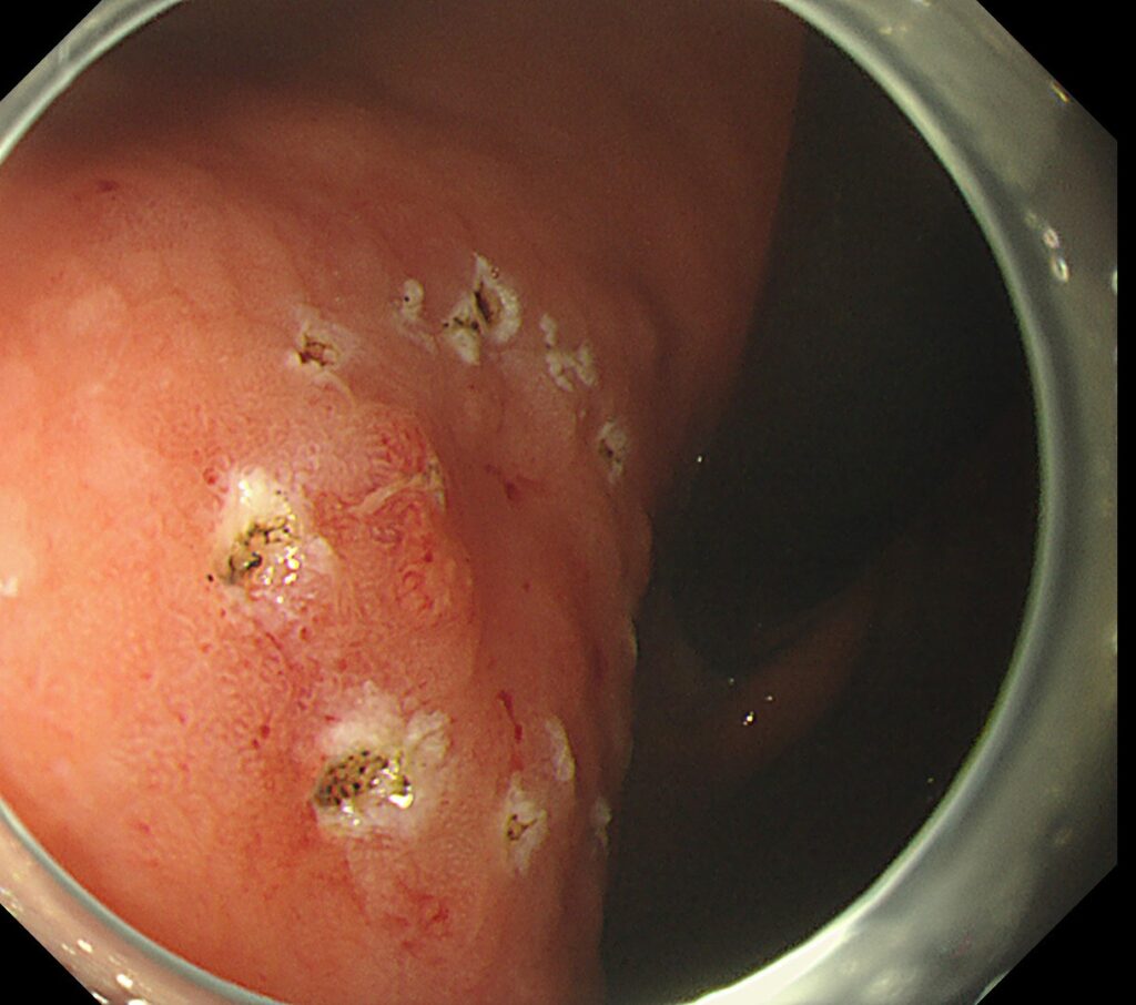
周辺マーキングを行い、剥離開始しました。

予想通り、筋層と病変が強固に癒着し、通電するスペースがごくわずかしかない状況。なお、使用した局注はもちろん、ヒアルロン酸です。

剥離に関しては、筋層を損傷しないように、繊維を1本ずつ剥がしていくように進めていきます。
そこで出番は、オリンパスのフックナイフ。写真のごとく、繊維引っ掛けて切っていくデバイスとなります。

筋層と線維化領域を見極めないと、穴が空き緊急手術となる場面ですが、豊富な経験と臨床的嗅覚を活かし、病変切除成功となっております。

潰瘍底をみれば、エキスパートの先生であれば、察すると思いますが、強烈な線維化(癒着)症例でした。
切除時間は、28分です。(一般病院では1時間以上かかると思います)
当院では、処置具のチョイスや高周波(通電の機械)の設定を場面ごとに自由自在に変更することで、最短で治癒切除までもっていきます。