食道メラノーシス近傍に発生した早期食道癌の一例

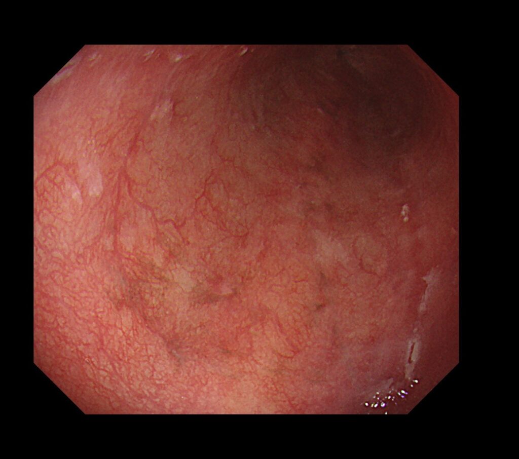
食道メラノーシスとは、食道粘膜にメラニン色素が増加することで、見た目が黒く変色する病態です。

・高飲酒歴

・高喫煙歴

・逆流性食道炎

の患者に多く見られます。

このメラノーシスが悪さをするわけではありませんが・・・

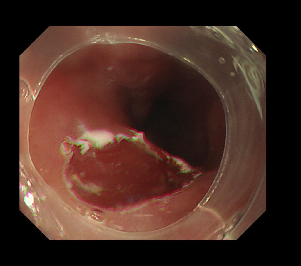
今回提示する症例は、メラノーシス近傍に発生した早期食道癌を内視鏡で一括切除した一例です。

通常観察では周囲粘膜より、やや茶食の領域が散見されています。

この時点で、入念に食道癌の発見に集中します。

近傍に癌を疑う所見を認め、拡大観察可能な内視鏡に切り替え、再度観察。

NBI拡大モードで癌血管を視認。

癌部に電気メスでマーキングをし、10分程度で、高周波を使用し、一括切除しました。

#苦しくない内視鏡 #癌の内視鏡治療