極めて稀な食道異所性胃腺の一例

一般的に、食道の異所性胃腺は、治療対象とされず、胃粘膜の一部が食道で増殖した病変とされています。

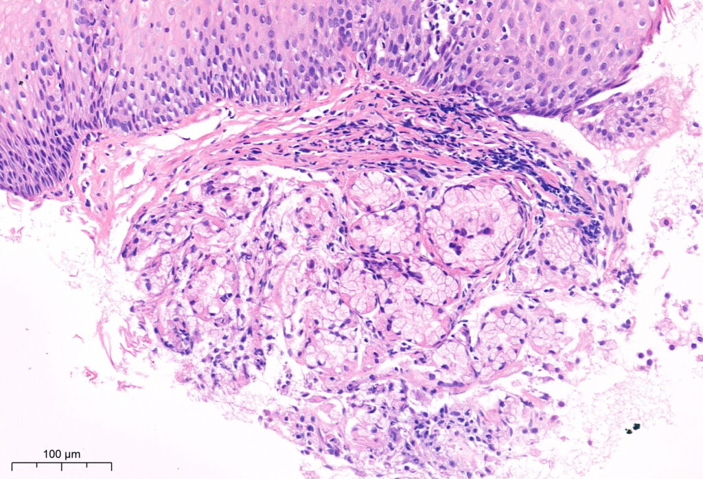
胃粘膜の病理は、腺窩上皮の増殖が一般的です。

今回経験した症例は、胃腺窩上皮ではなく、胃底腺とよばれる成分が食道で増殖した、極めて稀な症例です。

中部食道、2〜5時方向に領域性のある血管透見消失所見を認めます。

NBI観察では、食道扁平上皮を1層残し、その直下で何らかの組織の増殖像を伺わせる所見を認めます。

TXIモードでは、血管透見消失域に一致して、乳白色調の組織増生を認めます。

病理組織像では、重層扁平上皮の下に、腺組織の増生を認めます。

胃の主細胞や壁細胞が観察され、胃底腺の異所性胃腺の診断となりました。